U.S. Senator McCain diagnosed with aggressive brain cancer

Photo grabbed from Reuters video

WASHINGTON D.C., United States (Reuters) — United States Senator John McCain, the 2008 Republican presidential nominee known for political independence during more than three decades in the Senate, has been diagnosed with an aggressive form of brain cancer, his office said on Wednesday (July 19).

The 80-year-old lawmaker and former Navy pilot, who was re-elected to a sixth Senate term in November, has been recovering at home in Arizona since undergoing surgery at the Mayo Clinic in Phoenix last Friday to remove a blood clot from above his left eye.

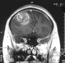
Tissue analysis since that procedure revealed that a brain tumor known as a glioblastoma was associated with the clot, his office said. McCain’s doctors said he was recovering from surgery “amazingly well” and that his underlying health was excellent.

McCain’s daughter, Meghan McCain, said the family was shocked by the diagnosis but that her father was the “most confident and calm” of them all as he prepared for a new battle against cancer.

Former Democratic President Barack Obama, who defeated McCain for the White House in 2008, called McCain “an American hero and one of the bravest fighters I’ve ever known. Cancer doesn’t know what it’s up against. Give it hell, John.”

Related Post

This website uses cookies.