Australian doctors find live parasitic worm in woman’s brain

TOPSHOT – An undated and unplaced handout phooto received from The Australian National University (ANU) in Canberra on August 29, 2023 shows a brain scan. A parasitic roundworm typically found in snakes has been pulled “alive and wriggling” from a woman’s brain in a stomach-churning medical first, Australian doctors said on August 29, 2023. (Photo by Handout / THE AUSTRALIAN NATIONAL UNIVERSITY / AFP)

SYDNEY, Aug 29, 2023 (AFP) – A parasitic roundworm typically found in snakes was pulled “alive and wriggling” from a woman’s brain in a stomach-churning medical first, Australian doctors said Tuesday.

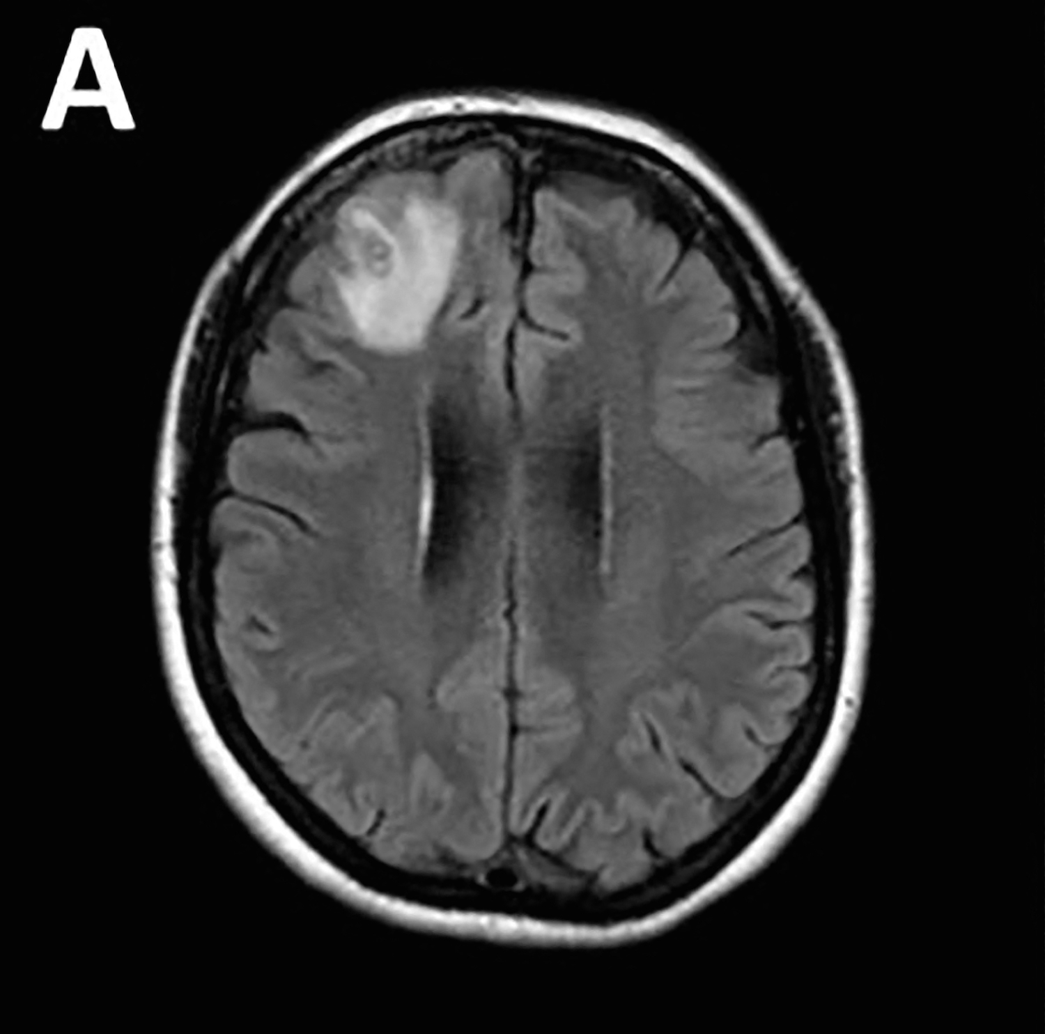
Baffled doctors performed an MRI scan on the 64-year-old Australian woman after she began suffering memory lapses, noticing an “atypical lesion” at the front of her brain.

It was an eight-centimetre (three-inch) roundworm, called Ophidascaris robertsi, which researchers said was a common parasite in kangaroos and carpet pythons — but not humans.

“This is the first-ever human case of Ophidascaris to be described in the world,” said infectious disease expert Sanjaya Senanayake.

“To our knowledge, this is also the first case to involve the brain of any mammalian species, human or otherwise.”

The woman, who had been treated for but not fully recovered from pneumonia, was admitted to a hospital in January 2021 after three weeks of abdominal pain and diarrhoea, which progressed to a dry cough and night sweats, according to findings published in the journal Emerging Infectious Diseases.

She was re-admitted to a hospital three weeks later when her condition did not improve, and underwent various treatments until brain scans revealed a lesion and an open biopsy was performed in June 2022.

“We noted a stringlike structure within the lesion, which we removed; it was a live and motile helminth,” the findings said.

The parasite was then identified through DNA testing.

Researchers believe the woman was infected after foraging for edible shrubs near her house, which were likely contaminated with parasitic larvae shed in snake faeces.

“It is never easy or desirable to be the first patient in the world for anything,” Senanayake said.

“I can’t state enough our admiration for this woman, who has shown patience and courage through this process.”

Senanayake said Ophidascaris roundworms were known to infect animals in other parts of the world, and it was “likely that other cases will be recognised in coming years”.

Related Post

This website uses cookies.